8 495 230—15—01
Ленинский Проспект 119
9:00-21:00 Ежедневно
М.Тропарёво
М.Динамо
ул. Мишина, д. 35
+7 (495) 230-15-01
Здоровые зубы без боли и слёз
Лечение у стоматолога может быть без страха и слёз. Мы используем передовые антистресс-методики, как в лучших клиниках Европы и США.
Мы работаем с детьми от 0 до 18 лет
Все врачи со специализацией «Детская стоматология»
Лечение через адаптационный прием
Игрушка
в подарок
Врач может провести большой объем работ всего за один прием – множественный кариес, несколько пульпитов, реставрация.
БЕЗОПАСНО
БЕЗ СТРЕССА
ВЫЛЕЧИМ ЗА ОДИН РАЗ
Только профильные опытные врачи и ассистенты работают с вашим ребенком.
Ребенок просыпается с уже здоровыми зубами без какого-либо негативного опыта.
Адаптационый приём
Адаптационый приём
Цена: 1 500 ₽
Старая цена: 3 000 ₽
Максимальная выгода акция до конца лета
Во время адаптационного приёма врач знакомится с ребёнком, проводит экскурсию по кабинету, показывает инструменты и рассказывает, для чего они нужны.
Если ребёнок готов к лечению — врач его проводит. Если нет — откладывает на следующий приём.
Максимальная выгода среди детских стоматологий в 2023 году
Лечение зубов во сне
К сожалению, антистресс-методы и адаптация работают не всегда. Если ребёнок младше трёх лет или у него был негативный опыт лечения, из-за которого теперь он испытывает слишком сильный страх, мы предлагаем лечение во сне.
Через 30 минут
После лечения пациент сможет самостоятельно вернуться домой.
Система мониторинга
Бригада анестезиологов ежесекундно отслеживает состояние пациента с помощью современной системы мониторинга
Запишитесь на приём
прямо сейчас, и в будущем ребёнок скажет вам спасибо
Мы поможем вашему ребенку...
Мы составили подробный список услуг и цен, который позволит вам выбрать нас среди других клинок, а вашему ребёнку забыть о боли и дискомфорте
от 516 ₽/мес.
Воспользуйтесь выгодной рассрочкой на 36 месяцев
0 ₽
Лечение
Диагностика
Лечение кариеса молочного зуба
(три поверхности)
Повторный профилактический осмотр врача стоматолога
Лечение кариеса молочного зуба
(две поверхности)
8 000 ₽
1 500 ₽
6 000 ₽
7 000 ₽
Лечение кариеса молочного зуба.
(одна поверхность)
Консультация детского врача стоматолога
Лечим кариес
Проводим профилактические осмотры и устраняем проблемы на ранней стадии
Успейте воспользоваться
акцией
Адаптационный приём
1 500 ₽
3 000 ₽
Реставрация и пломбирование
Лечение
Реставрация молочного зуба центральной группы
Лечение пульпита однокорневого зуба методом витальной экстирпации без учета реставрации
Глубокое фторирование всех зубов. Одна процедура
9 000 ₽
2 000 ₽
1 000 ₽
4 000 ₽
Временная пломба
Лечение пульпита в 2 посещения. Первое посещение
Наложение девитализирующей пасты. Временная пломба
Лечение пульпита методом витальной ампутации в 1 посещение
Реставрация и пломбирование
Лечение пульпита и наложение пасты
Успейте воспользоваться
акцией
Успейте воспользоваться
акцией
Лечение пульпита однокорневого молочного зуба с несформированным корнем без учета реставрации
5 000 ₽
4 000 ₽
11 000 ₽
5 000 ₽
Хирургия
Гигиена и лечение кариеса
Пластика уздечки языка в младенческом возрасте
Установка стандартной металлической коронки
Удаление 3 категории сложности
Удаление 2 категории сложности
2 000 ₽
3 000 ₽
2 500 ₽
5 000 ₽
1 500 ₽
Удаление 1 категории сложности
Лечение пульпита постоянного зуба с несформированными корнями
Прокладка БиоДентин (BioDentine)
Реставрация постоянного зуба центральной группы
Лечение кариеса постоянного зуба (две поверхности)
Удаляем зубы, делаем пластику уздечки и проводим другие операции
Делаем профессиональную чистку зубов и предотвращаем образование кариеса
Успейте воспользоваться
акцией
Успейте воспользоваться
акцией
Лечение кариеса постоянного зуба (одна поверхность)
15 000 ₽
8 000 ₽
11 000 ₽
9 000 ₽
Стаж 4 года
Не нашли нужную для вас услугу?
Кожемякина Светлана Борисовна
Подробно расскажем об интересующих вас услугах и запишем на приём, поможем найти решение
Стоматолог-терапевт, детский стоматолог
Консультация детского стоматолога
Цена: 1 500 ₽
Старая цена: 3 000 ₽
Лично проведу консультацию и посмотрю зубки вашего ребёнка
Стаж 4 года
Стоматолог-терапевт, детский стоматолог
Успейте воспользоваться
акцией
Долгалёва Алёна Олеговна
Мы работаем с детьми от 0 до 18 лет
Проводим психологическую адаптацию по европейским стандартам
Все врачи со специализацией «Детская стоматология»
Посмотрите на результаты
наших маленьких пациентов
Мы специализируемся на восстановлении зубов даже в самых сложных клинических ситуациях. Мы применяем самые современные методики восстановления, используем только качественные материалы и даем гарантии на все наши работы!
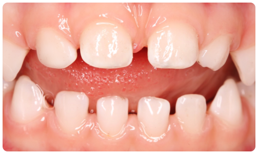
Лечение кариеса молочных зубов
Налёт Пристли
Врач:
Стоматолог-терапевт, детский стоматолог
Восстановление композитным материалом
Стаж: 4 года
Долгалёва Алёна Олеговна
Врач:
Стоматолог-терапевт, детский стоматолог
Проведена профессиональная гигиена полости
Стаж: 4 года
Кожемякина Светлана Борисовна
Стало
Было
Стало
Было
Лечение кариеса молочных зубов
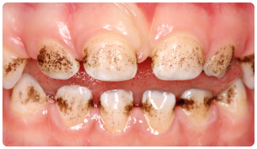
Гигиена
Врач:
Стоматолог-терапевт, детский стоматолог
Восстановление композитным материалом
Стаж: 4 года
Долгалёва Алёна Олеговна
Врач:
Стоматолог-терапевт, детский стоматолог
Профессиональная гигиена полости рта
Стаж: 4 года
Кожемякина Светлана Борисовна
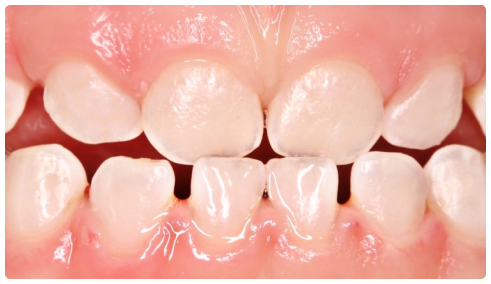
Стало
Было
Стало
Было
Гигиена
Врач:
Стоматолог-терапевт, детский стоматолог
Профессиональная гигиена полости рта
Стаж: 4 года
Кожемякина Светлана Борисовна
Стало
Было
Мы не используем устаревшие методы лечения
Принудительное
лечение
Мышьяк
Стоматолог-ортодонт
Цементные
пломбы
Стаж: 10 лет
Зайцева Алина Борисовна
Чувствуйте себя как дома
Десткая игровая комната
Для маленьких пациентов приём начинается с детской зоны, где можно играть, рисовать и смотреть мультики. Это отвлекает их от мыслей о лечении и не даёт сильно переживать.
В сети стоматологических клиник ЭспаДент к каждому ребенку применяется индивидуальный подход, поэтому лечение проходит без страха и слез. Все врачи ЭспаДент настоящие супергерои - спасают быстро и безболезненно.
Победитель в номинации «Клиника года» от Комсомольской Правды
№1 В народном рейтинге Москвы
Лечение в коффердаме
Коффердам
— это латексное полотно, которым стоматолог изолирует рабочий участок ротовой полости.
Защищает от вдыхания и проглатывания медикаментов, которые могут вызвать раздражение или аллергическую реакцию.
Безапасность
Обеспечивает сухость и чистоту, которые снижают вероятность повторных воспалений.
Эффективность.
Врачи со специализацией
«Детская стоматология»
И профессиональной подготовкой в области психологической адаптации
Стоматолог-терапевт, детский стоматолог
Долгалёва Алёна Олеговна
Стоматолог-терапевт, детский стоматолог
Кожемякина Светлана Борисовна
787 пациентов за 2022 год
752 пациента за 2022 год
Стоматолог-эндодонист
851 пациент за 2022 год
Лукьянова Анна Владимировна
Стоматолог-ортодонт
Зайцева Алина Борисовна
957 пациентов за 2022 год
+7 (495) 230-15-01
Телефон:
Клиника в Москве
Ленинский Проспект 119
М.Тропарёво
Ежедневно:
9:00-21:00
М.Динамо
ул. Мишина, д. 35
Записаться на приём
Контакты:
+7 (495) 230-15-01
Услуги
Результаты
ИМЕЮТСЯ ПРОТИВОПОКАЗАНИЯ, НЕОБХОДИМА КОНСУЛЬТАЦИЯ СПЕЦИАЛИСТА
ООО «СИРИУС»
Лицензия на осуществление медицинской деятельности
№ Л041-01137-77/00625022
ОГРН: 1197746563695 ИНН: 7714894846 КПП: 771401001
Телефон:
Ежедневно:
9:00-21:00
Все права защищены. Обращаем ваше внимание на то, что данный Интернет-сайт носит исключительно информационный характер и ни при каких условиях не является публичной офертой, определяемой положениями Статьи 437 Гражданского кодекса РФ.
Пациентам:
Ленинский Проспект 119
О нас:
М.Тропарёво
М.Динамо
ул. Мишина, д. 35